[ 목차 ]
- 대상포진 이란
- 대상포진 증상
- 합병증
- 전염성
- 대상포진 예방접종
- 대상포진 무료접종
- 대상포진 백신 종류
- 예방접종 최저가 병원 찾아보기
대상포진 전염 예방접종 무료접종 최저가 병원 찾아보기

예전엔 대상포진하면 60세 이상 분들에게서 많이 나타나는 질환이었지만 면역력이 많이 떨어진 요즘 20~30세의 젊은층에서도 대상포진이 흔하게 나타나고 있습니다. 바이러스성 질환으로 눈이나 안면신경에도 영향을 주어 시력에 지장을 주거나 안면 마비 증세가 나타날 수 있어 빠른 진료를 받는 것이 가장 중요합니다.
오늘은 대상포진이 무슨 질병이며 전염성은 없는지 예방접종과 무료접종 방법 및 글 맨 아래에는 최저가 병원을 찾는 방법도 알려드릴테니 꼭 끝까지 봐주시길 바랍니다. 그럼 함께 볼까요?
대상포진 이란
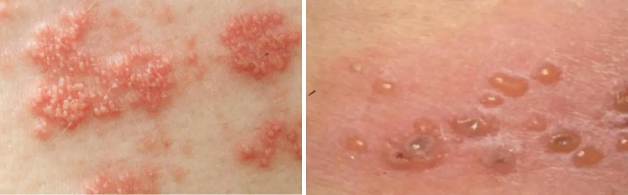
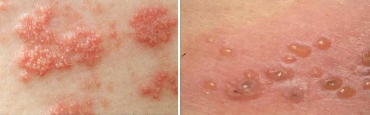
대상포진은 피부에 발진이나 물집과 함께 통증이 동반되는 바이러스성 질환입니다. 대상포진을 일으키는 바이러스는 어릴 때 수두의 원인이 되는 바이러스와 같은 것으로 수두가 치료된 후에도 바이러스가 완전히 사라지지 않고, 체내 신경을 타고 척수 속에 오랜 기간 숨어있다가 면역력이 떨어지거나 몸이 약해질 때 다시 활성화되어 질환을 일으킵니다.
대상포진의 특징은 몸의 신경 중 하나를 따라 퍼진다는 점입니다. 대상포진에 걸리면 몸의 한쪽에만 통증과 수포를 동반한 피부 병변이 발생합니다.
대상포진 증상

몸의 한쪽 편으로 심한 통증이나 감각 이상이 나타나며 아래와 같은 증상이 있을 수 있습니다.
- 두통
- 숨쉬기 곤란
- 배 아픈 증상
- 팔, 다리가 저리며 근육통 증상 호소
대상포진은 처음엔 수포가 없이 가렵고 아프며 근육이 아파서 근육통이나 다른 내부 장기 질환으로 오인하기 쉽습니다. 하지만 수일 내에 물집이 생긴 후 3일 이내에 고름집 모양으로 변하고 일주일이 지나면 딱지가 생기므로 최대한 빠른 시일 내에 진료를 받고 치료하는 것이 좋습니다.
합병증
대상포진은 생기는 부위에 따라 합병증이 다르게 나타날 수 있습니다.
눈 주위에 생긴 경우라면 눈에 여러가지 합병증을, 안면부나 귀는 안면 신경마비 증상이 따를 수 있고, 방광 부위도 발생할 수 있는데 소변을 잘 못 보는 경우도 따를 수 있습니다.
보통 발진이 사라지고 1개월 이상 통증이 지속되는 경우를 대상포진후 신경통이라고 합니다. 10~20% 정도에서 발생하며 60세 이상은 40%까지 발생하지만 60세 미만에서는 10% 미만으로 고령일수록 발생 빈도가 높습니다.
대상포진후 신경통은 만성적으로 지속되어 불면증, 우울증을 일으키고 삶의 질을 떨어뜨릴 수 있으므로 이를 예방하기 위해서는 초기에 발견하고 치료하며 적극적으로 관리를 하는 것이 중요합니다.

전염성
수두 대상포진 바이러스는 대상포진 환자의 물집이 터진 후 진물에 의한 접촉이 될 수 있고, 드물게는 공기로도 전염될 수 있습니다.
수두에 걸린 적이 없던 사람이 대상포진 바이러스에 감염되면 수두 형태로 질환을 앓을 수 있습니다. 그러므로 어릴 적 수두에 걸린 적이 없는 사람이라면 충분히 전염될 가능성이 있으니 발병 차단을 위해 수두 예방접종을 받는 것을 고려해 보시기 바랍니다.
예방접종
대상포진은 예방접종을 하면 발병률이 60%까지 낮아지고 합병증에 대한 위험 또한 줄일 수 있습니다. 특히 60세 이상의 중장년층에서 발병률이 높기 때문에 보통 50세 이상에게는 대상포진 예방접종을 권고하고 있습니다.
접종 약효는 한 번 맞으면 약 5년간 지속되므로 접종횟수는 약 5년에 기본 1회 주기로 접종하시면 됩니다. 임산부나 임신 가능성이 있는 사람은 접종을 피하는 것이 좋습니다.
무료접종
우리나라는 대상포진 접종을 권고하고 있으며 지자체마다 무료 접종을 실시하고 있습니다. 하지만 무료접종은 국민 모두에게 해당되는 것은 아니고 65세 이상 해당 구민 대상이며, 각 지자체마다 조금씩의 차이는 있으므로 보건소에 문의하여 알아보는 것이 가장 정확합니다.
대상포진 백신 종류
| 백신종류 | 예방률 | 접종횟수 | 가격 |
| 조이타박스 | 51% | 1회 피하주사 | 10~20만원 대 |
| 싱그릭스 | 97% | 2회 근육주사 (2개월 간격) |
50~60만원 대 (2회 접종) |
대상포진 백신종류에 대해 간단히 설명드리자면, 조이타박스와 싱그릭스 2가지가 있습니다.
✅ 조이타박스
대표 대상포진 예방접종 백신으로 1회 접종 시 예방률은 51% 정도 됩니다. 하지만 연령이 높을수록 효과가 급격히 낮아지고 효과 또한 오래가지 못하다는 단점이 존재합니다.
✅ 싱그릭스
조이타박스의 단점을 보완하고자 나온 백신이 싱그릭스입니다. 면역력이 떨어져 대상포진 위험이 있는 만 18세 이상 성인에게 접종이 가능합니다.
대상포진 예방률이 90%가 넘고 백신 유효성도 조이타박스에 비해 오래 유지됩니다. 하지만 이런 싱그릭스 백신도 단점이 존재하는데 조이타박스에 비해 국소, 전신 이상 반응이 더 높게 관찰되었습니다.
대상포진 예방접종 최저가 병원 찾아보기
① 대상포진 예방접종 최저가 병원을 찾으려면 먼저 건강보험심사평가원 홈페이지에 접속하셔야 합니다.
② 비급여 진료비 정보 → 비급여 진료비용 정보 클릭
③ 지역과 의료기관 규모 선택, 예방접종료 → 대상포진 선택 후 조회하기
④ 검색된 병원의 세부를 클릭해서 예방접종 가격 비교하기

하지만 건강보험심사평가원에서는 싱그릭스 백신 정보는 나와있지 않습니다. 때문에 근처 병원에 문의하시는 것이 가장 빠른 방법입니다.
▼ 함께보면 좋은 글
채소 과일식 5060 다이어트 상식 BEST 9
채소와 과일이 몸에 좋다는 사실은 누구나 알고 있을 거예요. 아침 공복에 사과와 양배추 외 과일과 채소를 먹어 소화에 드는 에너지를 줄여주기만 해도 몸은 훨씬 가뿐하고 에너지가 넘치는 걸
moom-moom.com
탈모 치료 자가진단 꼭 알아야할 예방법 확인하기
우리나라의 탈모 인구 중 젊은 층의 비율이 점점 더 늘어나고 있다고 합니다. 탈모인의 30대와 40대를 합치면 43%, 20대도 21%나 차지를 한다고 하네요. 비율로만 보면 5명 중 1명이 20대이고 또 그만
moom-moom.com
방광염 증상 - 빈뇨 잔뇨감 말고도?
방광염은 전체 여성의 40% 이상이 살면서 한 번쯤은 겪는 질환이라고 합니다. 저 또한 스트레스가 많고 잠이 부족하거나 피곤한 날이면 방광염 증상이 스멀스멀 오더라고요. 무엇보다 분명 신호
moom-moom.com
비타민C 메가도스 비타민C 효능과 부작용
면역력이 중요시되고 있는 요즘 기침이 나거나 몸이 으슬으슬 춥거나 하면 바로 '비타민C를 먹어볼까?' 하는 생각으로 이어진다. 그도 그럴 것이 비타민C는 항산화제 작용을 하는 비타민으로 면
moom-moom.com
의외로 모르는 MSM 효능 부작용 - 피부, 관절 영양제
MSM에 대해 들어보셨나요? 피부건강과 관절 건강에 효과가 좋다고 알려진 MSM은 '에너지 부스터'라는 별명이 있을 정도로 활력 증강에 도움 되는 영양제입니다. 젊은 분들에게는 미용 목적으로 어
moom-moom.com
'건강 Health' 카테고리의 다른 글
| 휴롬 h200 착즙기 CA 당근 사과 주스 만들기 (착즙주스 레시피 TOP3) (0) | 2024.01.26 |
|---|---|
| 불필요 건강검진 6가지 총정리 (MRI, CT, 모발 미네랄검사 등) (0) | 2024.01.11 |
| 피부건강에 효과좋은 흙당근 효능 BEST 10 (0) | 2023.10.20 |
| 여드름 민감성 문제 피부 타파! 피부 좋아지는 생활습관 BEST5 (0) | 2023.06.14 |
| 오이팩 효능 TOP 9 푸석 건조한 피부엔 오이만한게 없다! (0) | 2023.03.16 |
| 뮤신 풍부한 마 효능 및 부작용 & 보관 방법 (0) | 2023.02.28 |
| 채소 과일식 5060 다이어트 상식 BEST 9 (0) | 2023.02.15 |
| 눈밑 떨림 마그네슘 부족 때문만일까? 몸의 신호 무시말자! (0) | 2023.02.13 |




댓글